LINEで友達追加
下の「今すぐ無料で相談」ボタンから、当院のLINEを友だち追加してください。
MENU
Orthodontic Treatment
歯並びが全身の健康に
つながることをご存じですか?
正しい歯並びはおうちでの毎日のケアを行いやすく、虫歯予防や歯周病予防に繋がります。また、正しい歯並びによるかみ合わせは、強い噛む力から歯を守ります。歯を失うことを防ぎ、正しくしっかりと噛める歯並びで食事を摂ることは全身の健康にも繋がります。
当院には日本矯正歯科学会認定医が在籍しており、患者様のお口に合わせて最善の矯正治療をご提案いたします。
矯正治療を通して、皆様の明るく健康的な毎日をサポートします。お気軽にご相談ください。
FEATURES


01
当院では、見た目の美しさだけでなく、将来まで長く安定する歯並びを目指しています。ものを噛んだときにかかるすべての歯への力のバランスを考慮しながら治療計画を立て、歯への負担を適切に調整します。これにより、長年使用しても損傷しづらい歯並びへと導きます。単に整った見た目をつくるのではなく、将来的なトラブルが起こりにくい機能的な噛み合わせを重視しています。


02
当院には、日本補綴歯科学会補綴歯科専門医と日本矯正歯科学会認定医が在籍しており、「どの歯からどの順番で動かすのが最も効率的か」を見た目と機能の両面から分析します。無駄のない治療計画により、トータルの治療期間を可能な限り短縮します。
また、総合歯科として必要な治療を並行して進められるため、タイムロスなくスムーズに矯正治療へ移行できます。
MORE

一人ひとりに合った
治療をご提案
当院はマウスピースのみ取り扱う歯科医院とは異なり、総合歯科のため様々な治療の選択肢を用意しています。一人ひとりの口腔内の状態を確認し、患者様にとってベストな選択肢をご提案できます

総合歯科だから幅広く治療が可能
院内で全ての治療が可能
矯正治療中は虫歯や歯周病になりやすく、治療中に万一トラブルがあった際にも、院内で治療を完結できます。
RISK
「歯並びの問題は見た目だけ」と思っていませんか?
実は、噛み合わせの乱れはお口の中だけでなく、全身の健康、そして将来的な出費(治療費)にも大きな影響を及ぼします。
矯正治療を行うことは、「一生自分の歯で美味しく食べるための投資」でもあります。
不正咬合(悪い歯並び)のままだと、80歳のときに20本以上の歯が残っている可能性はかなり低くなってしまいます。
歯が重なり合っている部分は、どんなに丁寧にブラッシングをしても物理的に毛先が届きにくくなります。プラーク(細菌の塊)が溜まり続けることで、虫歯や歯周病の進行リスクが高まります。
正しい位置で噛み合っていないと、一部の歯だけに過剰な力が集中します。これを「咬合性外傷」と呼びます。健康な歯であっても、折れたり、ぐらついたりする原因となり、結果的に寿命を縮めてしまうことがあります。
噛み合わせのズレが顎関節に負担をかけると、顎関節症(あごが鳴る・痛む)を引き起こします。さらに、その緊張が首や肩のこり、原因不明の頭痛など、全身の不調として現れることも少なくありません。
「噛む」という機能は消化の第一歩です。不正咬合でしっかり噛めないまま飲み込む習慣がつくと、胃腸に過度な負担がかかり、栄養の吸収効率も悪くなります。健康な体づくりは、正しい噛み合わせから始まります。
「歯並びが気になって思いきり笑えない」といった精神的なストレスは、日々の活力を奪います。自信を持って笑えることは、メンタルヘルスにおいても非常に重要な要素です。
Ihana歯科岐阜は
「きれいな歯並び」と
「かみ合わせの調整」 を両立する
矯正歯科医院です。
当院には噛み合わせの分析から調整までを行う
日本補綴歯科学会専門医と、
矯正経験が豊富な
日本矯正歯科学会認定医が在籍しています。
また、インビザラインファカルティ(インビザライン矯正指導をできる立場の歯科医師)が治療監修を行っています。
噛み合わせの調整と矯正治療のプロフェッショナルが協力して治療にあたることで、
持続的で長持ちしやすい理想的な歯並びに近づけることが可能です。
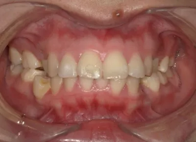
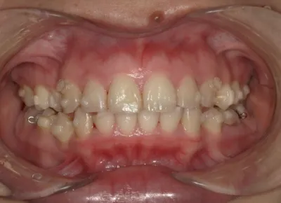
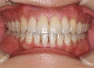
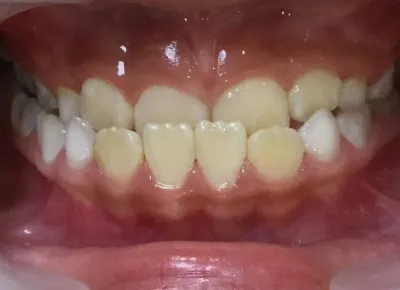
EXAMPLE

Before

After
治療期間
費用総額

Before

After
治療期間
費用総額

Before

After
治療期間
費用総額

Before

After
治療期間
費用総額
CASES

ガタガタした歯並びや
八重歯
(叢生)

出っ歯
(上顎前突)

受け口
(反対咬合)

すきっ歯
(空隙歯列)

前歯が閉じない
(開咬)

中心がずれている
(交叉咬合)

噛み合わせが深い
(過蓋咬合)
FLOW

1
初診相談
問診・カウンセリングで今のお悩みや理想の歯並びについてお聞きします。治療期間・費用の概算もお伝えいたします。

2
精密検査
CTやレントゲン撮影、口腔内スキャナで資料取りを細かく行います。情報を元に、複数のドクターが連携して治療計画を設計いたします。

3
治療計画のご提案
診断結果をご説明の上で、治療計画をご提案いたします。治療を進めるかどうかはその場で決めても持ち帰って決められてもOKです。

4
治療スタート
お支払いの確認を完了後、マウスピース制作を開始します。
虫歯などがあれば治療を行い、マウスピースをお渡しして治療開始となります。
PRICE
一括
950,000
円
治療費用内訳
一括
650,000
円
治療費用内訳



Q&A
治療中、見た目に変化はありますか?
マウスピースは透明で薄いため、至近距離で見ない限りほとんど気づかれません。
違和感や話すのに支障はありますか?
最初は数日ほど話しにくさ(滑舌の違和感)を感じる場合がありますが、すぐに慣れる方がほとんどです。
マウスピース矯正(インビザライン)は痛いですか?
新しいマウスピースに交換した直後は、歯が動く「締め付けられるような痛み」を感じることがあります。ただ、数日で落ち着く場合が多いです。
マウスピース(インビザライン)をつけたままお茶やコーヒー、炭酸水を飲んでもいいですか?
着色や変形の原因になるため、お水以外を飲む際にはマウスピースは外してください。
マウスピース矯正は、装着時間はどれくらいですか?
1日20〜22時間以上の装着が必要です。食事と歯磨きの時間以外は、常に装着しているイメージです。装着時間が短いと、計画通りに歯が動かない原因になります。
治療期間はどれくらいですか?
マウスピース矯正は個人差がありますが、全体矯正で1年〜2年半がめやすになります。
むし歯や歯周病があっても矯正できますか?
基本的には、虫歯や歯周病の治療を優先します。ただ、状況によっては、矯正治療と並行してむし歯治療を進めることもあります。
抜歯しないと矯正治療はできませんか?
必ずしも抜歯が必要なわけではありません。歯を並べるスペースが足りない場合は抜歯を検討しますが、歯の表面をわずかに削ったり、奥歯を後ろに下げたりすることで、非抜歯で対応できる場合もあります。
小児矯正は痛いですか?
お子様向けの装置も、最初は違和感や多少の痛みがありますが、大人に比べて骨が柔らかいため痛みは少ない傾向にあります。
小児矯正はいつから始めればいいですか?
一般的には6歳〜9歳頃(前歯が生え変わる時期)が目安です。
食べ物に制限などはありますか?
マウスピース矯正の場合は、食事の時に装置を外すため、制限はありません。
矯正は保険適用・高額療養費制度の対象になりますか?
矯正治療は基本的に保険適用外、高額療養費制度の対象外です。医療費控除は対象になります。
Specialty
専門的治療は、口の機能に障害をお持ちの方を診療する外来です。少しでも不安があれば、気軽にご相談ください。
摂食嚥下
むせたり、食べ物をスムーズに飲み込めなくなることを摂食嚥下障害といいます。当院では嚥下専門の歯科医師が診療をおこなっています。
専門外来は、水曜午前に診療いたします。
About us
痛くない、怖くない、
通いやすい医院を目指しています
ひと昔前は”歯科治療は痛みを伴うもの。我慢してもらって当たり前”という時代もありました。現代では、最新技術を用いることによって適切に痛みに対処することができるようになりました。当院は最新の確かな技術と丁寧な施術によって、痛みがなく治療を受けれるようスタッフ一同診療を行っております。
理事長 三輪 俊太

お電話はこちらから
〒501-6035
岐阜県羽島郡笠松町円城寺873番地
*駐車場10台完備
当法人はSDGs達成のための活動に取り組んでいます
| 診療時間 | 月 | 火 | 水 | 木 | 金 | 土 | 日 |
|---|---|---|---|---|---|---|---|
| 8:30 - 17:30(17:00 最終受付) | ◯ | ◯ | / | / | ◯ | ◯ | / |
| 8:30 - 12:00(11:30 最終受付) | / | / | ◯ | / | / | / | / |
休診日:木曜・日曜