LINEで友達追加
下の「今すぐ無料で相談」ボタンから、当院のLINEを友だち追加してください。
MERIT
噛み合わせを調整できる
日本補綴歯科学会 補綴歯科専門医

三輪俊太
歯学博士(大阪大学)

矯正経験が豊富な
日本矯正歯科学会認定医

水野友香
歯学博士(大阪大学)
が在籍しているからできる


01
ものを噛んだときにかかる全ての歯への力のバランスを考えて治療を計画します。 歯への力のかかり具合を調整することで、長年使っても 損傷しづらい歯並びに近づいていきます。


02
当院には日本補綴歯科学会専門医・日本矯正歯科学会認定医が在籍しているため、プロが直接口内を確認したり患者様にヒアリングして正確に現状を把握することが可能です。 効果的なアプローチで治療できるため、矯正期間の短縮につながります。
MORE

ワイヤー・マウスピース
どちらも対応可能
当院はマウスピースのみ取り扱う歯科医院とは異なり、総合歯科のため様々な治療の選択肢を用意しています。一人ひとりの口腔内の状態を確認し、患者様にとってベストな選択肢をご提案できます

総合歯科だから幅広く治療が可能
院内で全ての治療が可能
矯正治療中は虫歯や歯周病になりやすく、治療中に万一トラブルがあった際にも、院内で治療を完結できます。
初回の矯正相談では
矯正治療の必要性の有無
治療方法、期間、費用
矯正治療をした場合のBefore/Afterシミュレーション
をご確認いただけます
LINEで友達追加
下の「今すぐ無料で相談」ボタンから、当院のLINEを友だち追加してください。
気になるところを
撮影して送信
下記をLINEのトーク画面からお送りください。
相談内容への回答
相談内容にドクターが回答いたします。
※LINE無料相談は「医療相談」の範囲内であり、診断等の医療行為を行うことはできません。


ATTENTION
Ihana歯科岐阜は
「きれいな歯並び」と
「かみ合わせの調整」 を両立する
矯正歯科医院です。
当院には噛み合わせの分析から調整までを行う
日本補綴歯科学会専門医と、
矯正経験が豊富な
日本矯正歯科学会認定医が在籍しています。
また、インビザラインファカルティ(インビザライン矯正指導をできる立場の歯科医師)が治療監修を行っています。
噛み合わせの調整と矯正治療のプロフェッショナルが協力して治療にあたることで、
持続的で長持ちしやすい理想的な歯並びに近づけることが可能です。
FACILITY

1
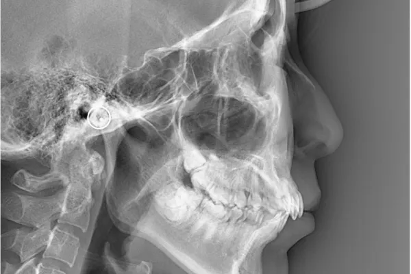
セファロレントゲン
矯正専用のレントゲン装置で、顔の骨格を調べることが可能です。矯正方針を策定するために役立ちます。

2
iTero
口腔内をデジタルスキャンし、3Dモデルで歯型を再現することが可能です。

3
CT
X線で口周りの内部を輪切り状にして見ることで、歯の長さや角度、位置などを正確に把握することが可能です。
FACILITY
CASES
難症例の実績も多数ございます。他院で断られた場合も治療できる可能性がありますので、当院までご相談ください。

ガタガタした歯並びや
八重歯
(叢生)

出っ歯
(上顎前突)

受け口
(反対咬合)

すきっ歯
(空隙歯列)

前歯が閉じない
(開咬)

中心がずれている
(交叉咬合)

噛み合わせが深い
(過蓋咬合)
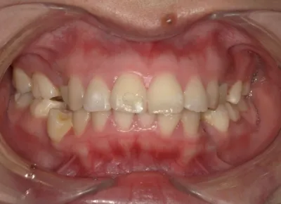
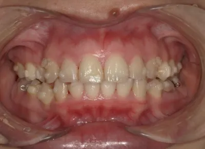
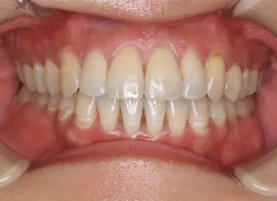
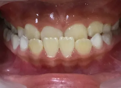
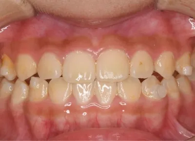
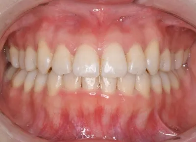
EXAMPLE

Before

After
治療期間
費用総額

Before

After
治療期間
費用総額

Before

After
治療期間
費用総額

Before

After
治療期間
費用総額
FLOW

1
初診相談
問診・カウンセリングで今のお悩みや理想の歯並びについてお聞きします。治療期間・費用の概算もお伝えいたします。

2
精密検査
CTやレントゲン撮影、口腔内スキャナで資料取りを細かく行います。情報を元に、複数のドクターが連携して治療計画を設計いたします。

3
治療計画のご提案
診断結果をご説明の上で、治療計画をご提案いたします。治療を進めるかどうかはその場で決めても持ち帰って決められてもOKです。

4
治療スタート
お支払いの確認を完了後、マウスピース制作を開始します。
虫歯などがあれば治療を行い、マウスピースをお渡しして治療開始となります。
当院では
専門医・認定医が治療計画を監修
します
噛み合わせを調整できる
日本補綴歯科学会 補綴歯科専門医

三輪俊太
歯学博士(大阪大学)

矯正経験が豊富な
日本矯正歯科学会認定医

水野友香
歯学博士(大阪大学)
日本で約20名しかいない インビザライン社のアラインファカルティ
マウスピース矯正治療のFaculty(教授)

歯科医師 植田 憲太郎 Profile
インビザライン矯正で全国1%以下と言われるレッドダイヤモンドプロバイダーで、2025年3,273症例の治療実績があるMeLoSグループの代表。
アライン社が主催する歯科医療社向けインビザライン矯正勉強会などで登壇する歯科医師に対して与えられる”faculty”(教授)の称号をもつ。


歯科医師
松尾 拓門
MeLoS認定アライナー教育担当講師
日本補綴歯科学会所属
日本臨床歯周病学会所属
一般歯科全般と矯正治療を担当しております。ご希望に沿った結果に辿り着けるようにしっかり相談することを大切にしております。
歯並びが原因となるトラブルは多くあり、良い状態を保つために歯並びについても十分に観察し、お話しさせて頂きます。

MeLoS矯正グループとは患者様の矯正治療のノウハウを共有し合い
歯科医院全体の矯正技術を向上させていくことを
目的とした歯科医院の連合です。
2025年度のグループ全体症例数は
3273にも上ります。
当院の松尾はMeLoS認定アライナー教育担当講師として、
他院の矯正歯科医師へ指導を行っています。
初回の矯正相談では
矯正治療の必要性の有無
治療方法、期間、費用
矯正治療をした場合のBefore/Afterシミュレーション
をご確認いただけます
PRICE
一括
950,000
円
治療費用内訳
一括
650,000
円
治療費用内訳



Q&A
矯正する際、抜歯は必要ですか?
抜歯が必要かどうかは患者様によって異なります。抜歯が必要と判断されたケースでも非抜歯をご希望の場合、そのご要望を叶えるためには何が必要かということを詳しくお伝えさせて頂きます。
虫歯があるかもしれないのですが、矯正は可能ですか?
虫歯の治療が優先となります。矯正治療を始める前に虫歯がないかを確認し治療を進めていきます。
何歳から矯正できますか?
個人差はありますが、小学校1〜2年生(7〜8歳頃)上下の前歯が生え揃った頃に始めて行くのが望ましいです。
治療中に気をつけるべきことを教えてください
1日20時間以上の装着をお願いしており、この時間を下回ると歯が計画通りに移動しないことが多いです。食事制限は特にはございませんが、食後の歯磨きは可能な限り実施をお願いしております。
支払い方法は何に対応していますか?
現金、クレジットカード、電子マネー、分割(デンタルローン)の4種類がございます。症状によっては医療費控除も受けることが可能です。
FACILITY

〒501-6035
岐阜県羽島郡笠松町円城寺873番地
*駐車場10台完備
| 診療時間 | 月 | 火 | 水 | 木 | 金 | 土 | 日 |
|---|---|---|---|---|---|---|---|
| 8:30 - 17:30(17:00 最終受付) | ◯ | ◯ | / | / | ◯ | ◯ | / |
| 8:30 - 13:00(12:30 最終受付) | / | / | ◯ | / | / | / | / |
休診日:木曜・日曜(祝日がある週の木曜日は診療しております)


Ihana歯科岐阜(以下「当院」)では、患者様に安心して歯科医療を受けてもらうために、患者さまの個人情報(当医院に来院した際に、提示された保険証・ご記入いただいた問診表・診療録等の内容などや、お問い合わせ、ご相談などの電話やメールも含みます)の重要性を認識し、下記のように個人情報の保護に努めます。
1)法令等の尊守
当院は、個人情報及び特定個人情報の保護に関連する法令、ガイドラインその他規範を遵守し、個人情報及び特定個人情報を適正に取り扱います。
2)個人情報の取得と利用
当院は、利用目的を明確にした上で個人情報を取得し、目的の範囲内に限り、個人情報を利用いたします。また、収集した個人情報及び特定個人情報を、利用目的の範囲内で業務の遂行上必要な限りにおいて利用するものとし、その他の目的で利用しません。
3)個人情報の管理と保護
個人情報の管理は、厳重に行うこととし、患者様および当サイトの利用者様(患者様)にご承諾いただいた場合を除き、第三者に対しデータを開示・提供することは原則いたしません。また個人情報の漏えい、滅失又はき損を防ぐため、安全管理措置を規定し実施いたします。また問題発生の予防のための手順を設け実施するとともに、万が一の問題発生に対しては速やかに再発防止のための是正を行います。
4)安全管理措置
当院は、個人情報及び特定個人情報の正確性及び最新性を保ち、安全に管理するとともに個人情報及び特定個人情報の紛失、改ざん、漏えい等を防止する為に必要かつ適正な措置を講じます。
5)個人情報の第三者提供について
当医院は、患者さまよりお預かりした個人情報を適切に管理し、次のいずれかに該当する場合を除き、個人情報を第三者に開示いたしません。
・患者さまの同意がある場合
・患者さまが希望されるサービスを行なうために当医院が業務を委託する業者に対して開示する場合
・法令に基づき開示することが必要である場合
6)個人情報の開示・訂正・追加・削除・利用停止
個人情報の開示・訂正・追加・削除・利用停止をご希望の場合には、ご本人であることを確認したうえで、速やかに対応いたします。